Return to Newsroom
Thursday, August 17, 2023, 08:03 AM
Run Time: 3:11 Minutes
Submit a Story

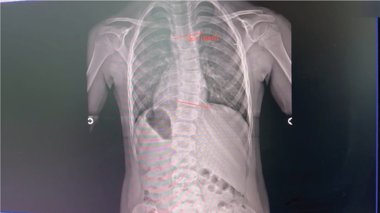
Pediatric Scoliosis and Treatment

Noticing something abnormal in your child can be alarming but conditions like scoliosis are common and early detection can help your child thrive later in life.

We learn more from Dr. John Wiemann, orthopedic surgeon with University Orthopedic Associates to learn more about pediatric scoliosis and what treatments he’s using to help pediatric patient Jolene.
Submit a Story
Return to Newsroom
We use cookies and other tools to optimize and enhance your experience on our website. View our Privacy Policy.